The Importance of Wearing Your Elastics

November 11th, 2025

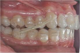
What are Elastics? Elastics are the very tiny rubber bands that hook up to certain brackets on your teeth or slots/buttons of your Invisalign aligners.

What do Elastics do? Elastics are placed on certain brackets to apply force to the teeth in order to fix your bite. The way in which you will wear them depends on whether you have an overbite, underbite, crossbite, open bite, etc. It is super important for you to wear the elastics because it means your teeth need to move in a way that braces alone cannot fix. This is also a responsibility that you as a patient have to do on your own when you leave the office. If you want to finish treatment on time or have a more comfortable bite then we NEED your help!

How do I care for my Elastics? You will be given a few bags of elastics, usually containing about 100 each. Make sure to keep these in safe places where you will remember. Maybe one at home, one in your school bag, or even one in your car. Any of the places you will be the most. If you do keep them in the car, make sure to keep them out of direct sunlight because that will effect the elasticity.

Elastics will lose their elasticity anyways, so we usually recommend changing them once a day. Elastics can also be changed anytime you take them out to eat/brush. We want you to stay hygienic even with orthodontic care. You should be washing your hands before putting them in your mouth, and then washing again after putting the new set of elastics. Especially with the sick season among us, it is just a good rule of thumb to wash before/after putting your hands near your mouth.

If you are allergic to latex, please remind your Orthodontist/Orthodontic assitants as they will provide you with latex-free elastics instead!

Try your best to wear your elastics even if it is uncomfortable to start, it will get easier! It will only help your Orthodontic Journey!

If you ever need more elastics please call and let us know, we also have an Emergency Box outside of all of the offices that you are welcome to at anytime!

Elastic Wear | Feller Orthodontics

Elastics with aligners

Halloween - an Orthodontist's Nightmare

October 1st, 2025

To stay on Dr. Kennell's good side this fall, make sure to follow these Halloween Guidelines to insure your braces stay secure. It is important to keep your teeth healthy this Halloween as well!

Here is what to AVOID when you go trick-or-treating:

  • Taffy
  • Caramels
  • Starbursts
  • Jellybeans
  • Licorice/Twizzlers
  • Candy Corn
  • Bubblegum
  • Tootsie Pops/Lollipops
  • Hard/Chewy Candy

Here is what you CAN eat after trick-or-treating:

  • Chocolate that does not contain caramel or nuts
  • Kit Kats
  • 3 Musketeers
  • Mounds
  • York Patties
  • Reese's Cups

We do not wish to turn you away from celebrating Halloween just because you have braces. It is always fun to dress up and go Trick-or-Treating, just make sure you do it the braces-friendly way. There are still plenty of candies to enjoy with your braces. With that being said, the overall health of your teeth matters too! So, after enjoying your candy for the night make sure to thoroughly brush and floss! If you do make a mistake and eat something you are supposed to and a bracket comes off, please let us know ASAP!

Emergency, Emergency!

September 26th, 2025

Did you just get your braces and forget to ask for a mouthguard for your football game this Saturday?!

Have you ever ran out of elastics and your appointment isn't for another few weeks?

Are you in need of wax, but the KO team is in a different office the day you are in need?

Well... we have a solution for you!

At each office (Laconia, Littleton, and Plymouth) the KO team has an Emergency Box that is titled "Orthodontic Supplies." This box is stocked with everything you might need when you are not able to come IN the office (Mondays, Weekends). Please help yourself to anything you might need.

The Emergency Box includes: All 3 types of Floss, Toothbrushes, Elastics, Mouthguards, Wax, Proxy Brushes.

You are welcome to these supplies at anytime. Of course, if it is emergency greater than just needing wax or a mouthguard you can always call us on our Emergency Line when the office is closed. Leave your name and phone number and we will assist you as soon as we can!

In Laconia the Emergency Box is located on the front porch next to the front door. In Plymouth, it is near the parking lot on the backside of our mailboxes. In Littleton, it is at the bottom of the ramp, behind the mailboxes.

Back-to-School Basics for Invisalign and Braces

August 29th, 2025

The start of the new school year is approaching whether we like it or not! For any newbies that got their braces, or started Invisalign treatment this summer, this post is especially for YOU!

For Invisalign aligners - wear them all day at school. Only take them out to eat and have any drinks that are not water. Make sure you have your aligner case with you so that you do not leave them laying on a paper towel (they will get thrown away or damaged!)

After lunch, you will want to brush your teeth before putting your Invisalign aligners back in! Bringing a hygiene kit with you to school might be a really good idea. This will be useful for patients with braces as well! Your hygiene kit for Invisalign should include a tooth brush and toothpaste, floss, a removal tool, and "chewies" to ensure you can take out and put in your aligners seamlessly.

For your hygiene kit for braces, it should include both a toothbrush and toothpaste, floss, proxy brushes for to get the bigger chunks of food under your wire, maybe some wax incase your brackets are starting to bother your lips or cheeks, and definitely ChapStick as your lips will get dry with braces or Invisalign.

If anything is ever broken or bothering you, make sure to give us a call! We are open after school hours and can be available for you to make sure your treatment is progressing in the most efficient way possible!

Taking care of your teeth is a big responsibility and can be forgotten along with the other responsibilities during school too. Just remember how important it is to maintain having healthy teeth while in treatment! If you follow these steps you should be just fine!

Kennell Orthodontics wishes you a great school year!

Schedule an
Appointment